Home About Types of Cancer Treatment Oncologists Research Links Forum

Contact Us

Return To Top

   Copyright © 2013 CanineCancer.org.au  All rights reserved.

Return To Top

Squamous Cell Carcinoma

Cutaneous Squamous Cell Carcinoma, is a malignant tumour of the epidermal cells in the skin. Ninety five percent of the cells in the epidermis are made up of keratinocytes. These tumours normally grow slowly but are aggressive in nature.

It is usually found on areas of the skin where the hair is sparse such as the belly and is typically the result of excessive sun exposure. Short coated dogs that spend a lot of time outdoors have a higher incidence of cutaneous squamous cell carcinoma. Most of these tumours look like a sore. The skin surface is replaced by a red slightly raised ulcer. They often look like a wound trying to heal, but get larger over time. Generally  these tumours are locally destructive but spread is infrequent. Any recurrence normally occurs within weeks to months.

It can also be found on the toe (digit) and it is more aggressive when found in the nail bed and one third will have spread throughout the body. Loss of the nail with a secondary infection is common when it occurs in the nail bed. 

Oral squamous cell carcinoma is found in the mouth on the gums, the lining of the mouth or tongue. In this location it is NOT due to sun exposure. This tumour is more aggressive when it grows in the mouth. Symptoms may include difficulty eating, loss of appetite, increased drooling and a mass in the mouth. Various diagnostic testing needs to be undertaken to determine if the tumour has spread and  what treatment options are likely to give the best outcome. Surgery, radiation or chemotherapy or a combination of these treatments might be recommended depending on the location and spread of the tumour. Prognosis will also depend on the location and the metastatic rate. 

The outcome of squamous cell carcinoma, as with all tumours can depend on early detection, location and whether or not there has been spread to other parts of the body. Your oncologist will advise you on what diagnostic testing needs to be undertaken and the best treatment options to give the best outcome.


 **Accuracy checked 23 September 2013, 

Dr Ken Wyatt BSc BVMS FANZCVS,

Registered Specialist in Veterinary Oncology,

Perth Veterinary Oncology  

 


   Oral Squamous Cell Carcinoma

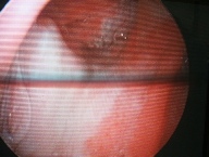
Squamous Cell Carcinoma of the abdomen


Squamous Cell Carcinoma of the oesophsgus

Other reliable and more detailed information on Squamous Cell Carcinoma